Dr. Juan Pablo García García . Cirujano Neurológico y de Columna Vertebral . Neurocirujano en Toluca Citas: 722 215 2517 . Torre Médica 1, Sanatorio Florencia, Paseo Gral. Vicente Gro 205, Morelos, Toluca, Edo. de México

Tratamiento de hematomas subdurales

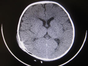
Estudio tomográfico prequirúrgico
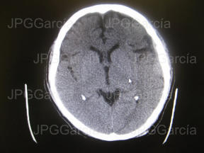
Estudio tomográfico postquirúrgico
Tratamiento de hematomas epidurales
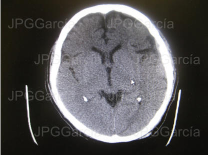
Estudio tomográfico prequirúrgico
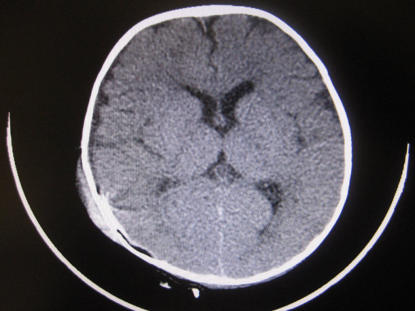
Estudio tomográfico postquirúrgico
Tratamiento de Hematomas Subdurales Subagudos por Craneotomía
JPGGarcía JPGGarcía JPGGarcía JPGGarcía JPGGarcía JPGGarcía JPGGarcía JPGGarcía JPGGarcía JPGGarcía JPGGarcía JPGGarcía JPGGarcía JPGGarcía JPGGarcía JPGGarcía JPGGarcía JPGGarcía JPGGarcía JPGGarcía JPGGarcía JPGGarcía JPGGarcía JPGGarcía JPGGarcía JPGGarcía JPGGarcía JPGGarcía JPGGarcía JPGGarcía JPGGarcía JPGGarcía JPGGarcía JPGGarcía JPGGarcía JPGGarcía JPGGarcía JPGGarcía JPGGarcía JPGGarcía JPGGarcía JPGGarcía JPGGarcía JPGGarcía JPGGarcía JPGGarcía JPGGarcía JPGGarcía JPGGarcía JPGGarcía
Dr. Juan Pablo García García
Cirugía Neurológica y de Columna Vertebral
Sanatorio Florencia . Torre Médica 1 . Consultorio 20 - Toluca, Estado de México
Cirugía neurológica y de columna vertebral - Dr. Garcia - Toluca
C. Andrés Quintana Roo Sur 817, Residencial Colón y Col Ciprés - Toluca, Estado de México
Drenaje de hematoma subdural crónico por craneotomía
Dr. Juan Pablo García García Cirujano Neurológico y de Columna Vertebral Neurocirujano en Toluca Citas: 722 215 2517 . Torre Médica 1 Sanatorio Florencia, Paseo Gral. Vicente Gro 205, Morelos, Toluca, Edo. de México

Tratamiento de

hematomas subdurales

Estudio tomográfico prequirúrgico
Estudio tomográfico postquirúrgico

Tratamiento de hematomas

epidurales

Estudio tomográfico prequirúrgico
Estudio tomográfico postquirúrgico
Tratamiento de Hematomas Subdurales Subagudos por Craneotomía
Dr. Juan Pablo García García
Cirugía Neurológica y de Columna Vertebral
Sanatorio Florencia . Torre médica 1 Consultorio 20, Toluca, Estado de México
Cirugía neurológica y de columna vertebral - Dr. Garcia - Toluca
C. Andrés Quintana Roo Sur 817, Residencial Colón y Col Ciprés - Toluca, Estado de México
JPGGarcía JPGGarcía JPGGarcía JPGGarcía JPGGarcía JPGGarcía JPGGarcía JPGGarcía JPGGarcía JPGGarcía JPGGarcía JPGGarcía JPGGarcía JPGGarcía JPGGarcía JPGGarcía JPGGarcía JPGGarcía JPGGarcía JPGGarcía JPGGarcía JPGGarcía JPGGarcía JPGGarcía JPGGarcía JPGGarcía JPGGarcía JPGGarcía JPGGarcía JPGGarcía JPGGarcía JPGGarcía JPGGarcía JPGGarcía JPGGarcía JPGGarcía JPGGarcía JPGGarcía JPGGarcía JPGGarcía JPGGarcía JPGGarcía
Drenaje de hematoma subdural crónico por craneotomía