Dr. Juan Pablo García García . Cirujano Neurológico y de Columna Vertebral . Neurocirujano en Toluca Citas: 722 215 2517 . Torre Médica 1, Sanatorio Florencia, Paseo Gral. Vicente Gro 205, Morelos, Toluca, Edo. de México

Tratamiento de hernia lumbar extruida

Estudio de resonancia magnética prequirúrgica
Disco lumbar extruido en el postquirúrgico
Microdisectomía lumbar L5 S1
JPGGarcía JPGGarcía JPGGarcía JPGGarcía JPGGarcía JPGGarcía JPGGarcía JPGGarcía JPGGarcía JPGGarcía JPGGarcía JPGGarcía JPGGarcía JPGGarcía JPGGarcía JPGGarcía JPGGarcía JPGGarcía
Dr. Juan Pablo García García
Cirugía Neurológica y de Columna Vertebral
Sanatorio Florencia . Torre Médica 1 . Consultorio 20 - Toluca, Estado de México
Cirugía neurológica y de columna vertebral - Dr. Garcia - Toluca
C. Andrés Quintana Roo Sur 817, Residencial Colón y Col Ciprés - Toluca, Estado de México

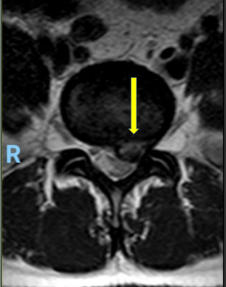
Hernia de disco lumbar extrusa L5 S1 (cortes

sagital y coronal en resonancia magnética)

JPGGarcía JPGGarcía JPGGarcía JPGGarcía JPGGarcía JPGGarcía JPGGarcía JPGGarcía JPGGarcía JPGGarcía JPGGarcía JPGGarcía JPGGarcía JPGGarcía JPGGarcía JPGGarcía JPGGarcía JPGGarcía JPGGarcía JPGGarcía JPGGarcía JPGGarcía JPGGarcía JPGGarcía JPGGarcía JPGGarcía

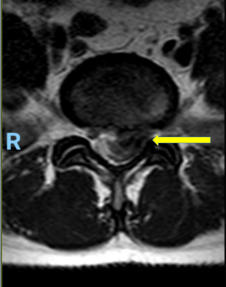
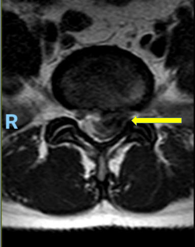
Hernia de disco lumbar extrusa L5 S1 (cortes axiales mostrando

gran compresión sobre la raíz nerviosa izquierda del segmento)

JPGGarcía JPGGarcía JPGGarcía JPGGarcía JPGGarcía JPGGarcía JPGGarcía JPGGarcía JPGGarcía JPGGarcía JPGGarcía JPGGarcía JPGGarcía JPGGarcía JPGGarcía JPGGarcía JPGGarcía JPGGarcía JPGGarcía JPGGarcía JPGGarcía JPGGarcía JPGGarcía JPGGarcía JPGGarcía JPGGarcía

Fragmentos de disco lumbar removidos para la descompresión

de la raíz nerviosa comparados con una gasa de 10 por 10 cm

JPGGarcía JPGGarcía JPGGarcía JPGGarcía JPGGarcía JPGGarcía JPGGarcía JPGGarcía JPGGarcía JPGGarcía JPGGarcía JPGGarcía JPGGarcía JPGGarcía JPGGarcía JPGGarcía JPGGarcía JPGGarcía JPGGarcía JPGGarcía JPGGarcía JPGGarcía JPGGarcía JPGGarcía JPGGarcía JPGGarcía

Tratamiento de hernia

lumbar extruida

Estudio de resonancia magnética prequirúrgica
Disco lumbar extruido en el postquirúrgico
Dr. Juan Pablo García García
Cirugía Neurológica y de Columna Vertebral
Sanatorio Florencia . Torre médica 1 Consultorio 20, Toluca, Estado de México
Cirugía neurológica y de columna vertebral - Dr. Garcia - Toluca
Dr. Juan Pablo García García Cirujano Neurológico y de Columna Vertebral Neurocirujano en Toluca Citas: 722 215 2517 . Torre Médica 1 Sanatorio Florencia, Paseo Gral. Vicente Gro 205, Morelos, Toluca, Edo. de México
Microdisectomía lumbar L5 S1
C. Andrés Quintana Roo Sur 817, Residencial Colón y Col Ciprés - Toluca, Estado de México
JPGGarcía JPGGarcía JPGGarcía JPGGarcía JPGGarcía JPGGarcía JPGGarcía JPGGarcía JPGGarcía JPGGarcía JPGGarcía JPGGarcía JPGGarcía JPGGarcía JPGGarcía JPGGarcía JPGGarcía JPGGarcía
Hernia de disco lumbar extrusa L5 S1 (cortes sagital y coronal en resonancia magnética)
JPGGarcía JPGGarcía JPGGarcía JPGGarcía JPGGarcía JPGGarcía JPGGarcía JPGGarcía JPGGarcía JPGGarcía JPGGarcía JPGGarcía JPGGarcía JPGGarcía JPGGarcía JPGGarcía JPGGarcía JPGGarcía JPGGarcía JPGGarcía JPGGarcía JPGGarcía JPGGarcía JPGGarcía JPGGarcía JPGGarcía
Hernia de disco lumbar extrusa L5 S1 (cortes axiales mostrando gran compresión sobre la raíz nerviosa izquierda del segmento)
JPGGarcía JPGGarcía JPGGarcía JPGGarcía JPGGarcía JPGGarcía JPGGarcía JPGGarcía JPGGarcía JPGGarcía JPGGarcía JPGGarcía JPGGarcía JPGGarcía JPGGarcía JPGGarcía JPGGarcía JPGGarcía JPGGarcía JPGGarcía JPGGarcía JPGGarcía JPGGarcía JPGGarcía JPGGarcía JPGGarcía
Fragmentos de disco lumbar removidos para la descompresión de la raíz nerviosa comparados con una gasa de 10 por 10 cm
JPGGarcía JPGGarcía JPGGarcía JPGGarcía JPGGarcía JPGGarcía JPGGarcía JPGGarcía JPGGarcía JPGGarcía JPGGarcía JPGGarcía JPGGarcía JPGGarcía JPGGarcía JPGGarcía JPGGarcía JPGGarcía JPGGarcía JPGGarcía JPGGarcía JPGGarcía JPGGarcía JPGGarcía JPGGarcía JPGGarcía