Dr. Juan Pablo García García . Cirujano Neurológico y de Columna Vertebral . Neurocirujano en Toluca Citas: 722 215 2517 . Torre Médica 1, Sanatorio Florencia, Paseo Gral. Vicente Gro 205, Morelos, Toluca, Edo. de México
Estudio tomográfico prequirúrgico
Estudio tomográfico postquirúrgico

Tratamiento de tumores cerebrales (meningioma)

JPGGarcía JPGGarcía JPGGarcía JPGGarcía JPGGarcía JPGGarcía JPGGarcía JPGGarcía JPGGarcía JPGGarcía JPGGarcía JPGGarcía JPGGarcía JPGGarcía JPGGarcía JPGGarcía JPGGarcía JPGGarcía
Dr. Juan Pablo García García
Cirugía Neurológica y de Columna Vertebral
Sanatorio Florencia . Torre Médica 1 . Consultorio 20 - Toluca, Estado de México
Cirugía neurológica y de columna vertebral - Dr. Garcia - Toluca
C. Andrés Quintana Roo Sur 817, Residencial Colón y Col Ciprés - Toluca, Estado de México
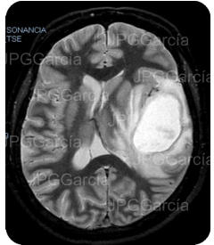
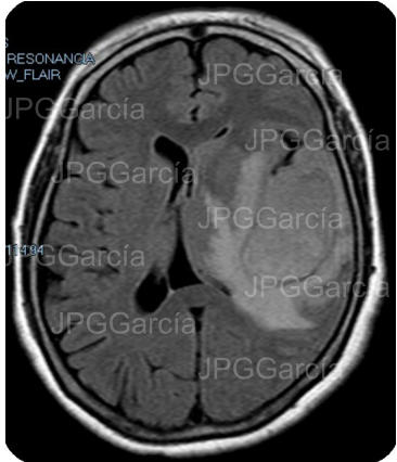
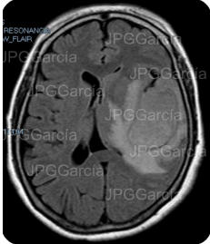
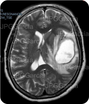
Resonancia magnética de cráneo en secuencias T1 y T2 que muestran una lesión ocupante de espacio de localización fronto temporal izquierda que ejerce efecto de masa aunado a edema perilesional
JPGGarcía JPGGarcía JPGGarcía JPGGarcía JPGGarcía JPGGarcía JPGGarcía JPGGarcía JPGGarcía JPGGarcía JPGGarcía JPGGarcía JPGGarcía JPGGarcía JPGGarcía JPGGarcía JPGGarcía JPGGarcía
Secuencia de resonancia craneal DW1 y STIR que muestran diferentes intensidades dentro de la lesión descrita que ejerce efecto de vector contra estructuras cerebrales
JPGGarcía JPGGarcía JPGGarcía JPGGarcía JPGGarcía JPGGarcía JPGGarcía JPGGarcía JPGGarcía JPGGarcía JPGGarcía JPGGarcía JPGGarcía JPGGarcía JPGGarcía JPGGarcía JPGGarcía JPGGarcía
Posterior a una craneotomía cerebral izquierda y a la localización por anatomía de la lesión, se observa a la aspiración gentil salida de material purulento que hacen el diagnóstico de absceso cerebral
JPGGarcía JPGGarcía JPGGarcía JPGGarcía JPGGarcía JPGGarcía JPGGarcía JPGGarcía JPGGarcía JPGGarcía JPGGarcía JPGGarcía JPGGarcía JPGGarcía JPGGarcía JPGGarcía JPGGarcía JPGGarcía
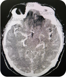
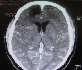
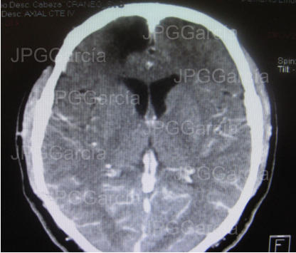
Resultado de tomografía craneal postquirúrgica en donde se observa drenaje del absceso cerebral
JPGGarcía JPGGarcía JPGGarcía JPGGarcía JPGGarcía JPGGarcía JPGGarcía JPGGarcía JPGGarcía
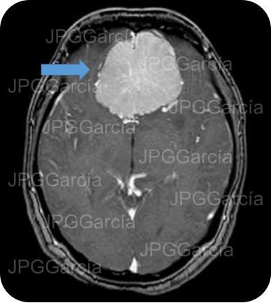
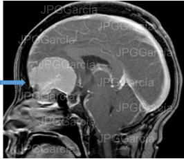
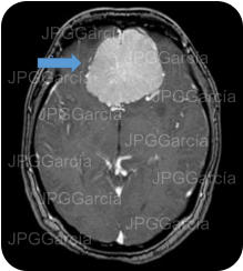
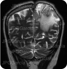
Estudio de IRM de cráneo mostrando una lesión tumoral hacia el tercio posterior de la hoz cerebral relacionado a un meningioma
JPGGarcía JPGGarcía JPGGarcía JPGGarcía JPGGarcía JPGGarcía JPGGarcía JPGGarcía JPGGarcía JPGGarcía JPGGarcía JPGGarcía JPGGarcía JPGGarcía JPGGarcía JPGGarcía JPGGarcía JPGGarcía
Posición quirúrgica del paciente y marcaje del sitio quirúrgico
JPGGarcía JPGGarcía JPGGarcía JPGGarcía JPGGarcía JPGGarcía JPGGarcía JPGGarcía JPGGarcía JPGGarcía JPGGarcía JPGGarcía JPGGarcía JPGGarcía JPGGarcía JPGGarcía JPGGarcía JPGGarcía JPGGarcía JPGGarcía JPGGarcía JPGGarcía
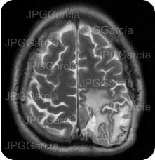
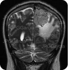
Estudio de IRM de cráneo (T2) como control postquirúrgico en donde se observa edema en la zona quirúrgica
JPGGarcía JPGGarcía JPGGarcía JPGGarcía JPGGarcía JPGGarcía JPGGarcía JPGGarcía JPGGarcía JPGGarcía JPGGarcía JPGGarcía JPGGarcía JPGGarcía JPGGarcía JPGGarcía JPGGarcía JPGGarcía JPGGarcía JPGGarcía JPGGarcía JPGGarcía
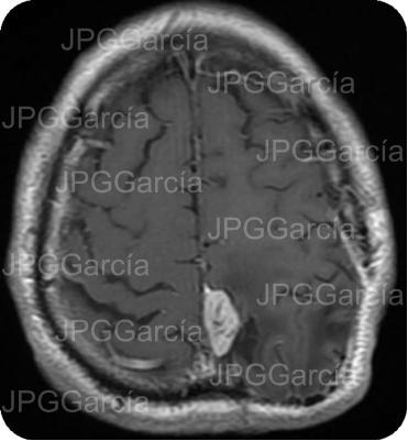
Estudio de IRM de cráneo (Contraste) como control postquirúrgico en donde se observa residual de meningioma anexo a la hoz cerebral el cual fue sometido a radioterapia
JPGGarcía JPGGarcía JPGGarcía JPGGarcía JPGGarcía JPGGarcía JPGGarcía JPGGarcía JPGGarcía JPGGarcía JPGGarcía JPGGarcía JPGGarcía JPGGarcía JPGGarcía JPGGarcía JPGGarcía JPGGarcía JPGGarcía JPGGarcía JPGGarcía JPGGarcía
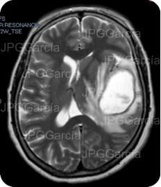
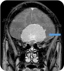
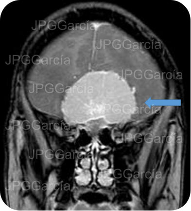
Tumor del plano esfenoidal clasificado por imagen como Meningioma visto a través de resonancia magnética cortes axial y coronal
JPGGarcía JPGGarcía JPGGarcía JPGGarcía JPGGarcía JPGGarcía JPGGarcía JPGGarcía JPGGarcía JPGGarcía JPGGarcía JPGGarcía JPGGarcía JPGGarcía JPGGarcía JPGGarcía JPGGarcía JPGGarcía JPGGarcía JPGGarcía JPGGarcía JPGGarcía
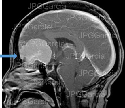
Meningioma del plano esfenoidal Imagen de resonancia magnética corte sagital
JPGGarcía JPGGarcía JPGGarcía JPGGarcía JPGGarcía JPGGarcía JPGGarcía JPGGarcía JPGGarcía JPGGarcía JPGGarcía
Imagen de tomografía (reconstrucción 3D) mostrando el acceso bifrontal para resección de la lesión tumoral
JPGGarcía JPGGarcía JPGGarcía JPGGarcía JPGGarcía JPGGarcía JPGGarcía JPGGarcía JPGGarcía JPGGarcía JPGGarcía JPGGarcía JPGGarcía JPGGarcía JPGGarcía JPGGarcía JPGGarcía JPGGarcía JPGGarcía JPGGarcía JPGGarcía JPGGarcía
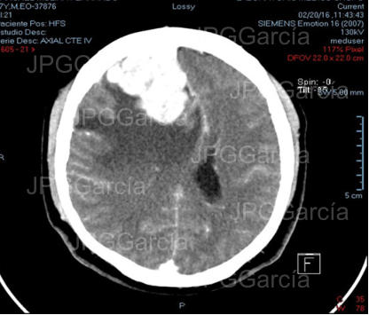
Tomografía contrastada que muestra resección de la lesión tumoral y área cicatricial post quirúrgica
JPGGarcía JPGGarcía JPGGarcía JPGGarcía JPGGarcía JPGGarcía JPGGarcía JPGGarcía JPGGarcía JPGGarcía JPGGarcía JPGGarcía JPGGarcía JPGGarcía JPGGarcía JPGGarcía JPGGarcía JPGGarcía JPGGarcía JPGGarcía JPGGarcía JPGGarcía
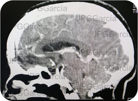
Tomografía contrastada corte sagital mostrando remoción de la lesión tumoral
JPGGarcía JPGGarcía JPGGarcía JPGGarcía JPGGarcía JPGGarcía JPGGarcía JPGGarcía JPGGarcía JPGGarcía JPGGarcía

Tratamiento de tumores

cerebrales (meningioma)

Estudio tomográfico prequirúrgico
Estudio tomográfico postquirúrgico
Dr. Juan Pablo García García
Cirugía Neurológica y de Columna Vertebral
Sanatorio Florencia . Torre médica 1 Consultorio 20, Toluca, Estado de México
Cirugía neurológica y de columna vertebral - Dr. Garcia - Toluca
Dr. Juan Pablo García García Cirujano Neurológico y de Columna Vertebral Neurocirujano en Toluca Citas: 722 215 2517 . Torre Médica 1 Sanatorio Florencia, Paseo Gral. Vicente Gro 205, Morelos, Toluca, Edo. de México
C. Andrés Quintana Roo Sur 817, Residencial Colón y Col Ciprés - Toluca, Estado de México
Resonancia magnética de cráneo en secuencias T1 y T2 que muestran una lesión ocupante de espacio de localización fronto temporal izquierda que ejerce efecto de masa aunado a edema perilesional
JPGGarcía JPGGarcía JPGGarcía JPGGarcía JPGGarcía JPGGarcía JPGGarcía JPGGarcía JPGGarcía JPGGarcía JPGGarcía JPGGarcía JPGGarcía JPGGarcía JPGGarcía JPGGarcía JPGGarcía JPGGarcía
Secuencia de resonancia craneal DW1 y STIR que muestran diferentes intensidades dentro de la lesión descrita que ejerce efecto de vector contra estructuras cerebrales
JPGGarcía JPGGarcía JPGGarcía JPGGarcía JPGGarcía JPGGarcía JPGGarcía JPGGarcía JPGGarcía JPGGarcía JPGGarcía JPGGarcía JPGGarcía JPGGarcía JPGGarcía JPGGarcía JPGGarcía JPGGarcía
Posterior a una craneotomía cerebral izquierda y a la localización por anatomía de la lesión, se observa a la aspiración gentil salida de material purulento que hacen el diagnóstico de absceso cerebral
JPGGarcía JPGGarcía JPGGarcía JPGGarcía JPGGarcía JPGGarcía JPGGarcía JPGGarcía JPGGarcía JPGGarcía JPGGarcía JPGGarcía JPGGarcía JPGGarcía JPGGarcía JPGGarcía JPGGarcía JPGGarcía
Resultado de tomografía craneal postquirúrgica en donde se observa drenaje del absceso cerebral
JPGGarcía JPGGarcía JPGGarcía JPGGarcía JPGGarcía JPGGarcía JPGGarcía JPGGarcía JPGGarcía
Estudio de IRM de cráneo mostrando una lesión tumoral hacia el tercio posterior de la hoz cerebral relacionado a un meningioma
JPGGarcía JPGGarcía JPGGarcía JPGGarcía JPGGarcía JPGGarcía JPGGarcía JPGGarcía JPGGarcía JPGGarcía JPGGarcía JPGGarcía JPGGarcía JPGGarcía JPGGarcía JPGGarcía JPGGarcía JPGGarcía
Posición quirúrgica del paciente y marcaje del sitio quirúrgico
JPGGarcía JPGGarcía JPGGarcía JPGGarcía JPGGarcía JPGGarcía JPGGarcía JPGGarcía JPGGarcía JPGGarcía JPGGarcía JPGGarcía JPGGarcía JPGGarcía JPGGarcía JPGGarcía JPGGarcía JPGGarcía JPGGarcía JPGGarcía JPGGarcía JPGGarcía
Estudio de IRM de cráneo (T2) como control postquirúrgico en donde se observa edema en la zona quirúrgica
JPGGarcía JPGGarcía JPGGarcía JPGGarcía JPGGarcía JPGGarcía JPGGarcía JPGGarcía JPGGarcía JPGGarcía JPGGarcía JPGGarcía JPGGarcía JPGGarcía JPGGarcía JPGGarcía JPGGarcía JPGGarcía JPGGarcía JPGGarcía JPGGarcía JPGGarcía
Estudio de IRM de cráneo (Contraste) como control postquirúrgico en donde se observa residual de meningioma anexo a la hoz cerebral el cual fue sometido a radioterapia
JPGGarcía JPGGarcía JPGGarcía JPGGarcía JPGGarcía JPGGarcía JPGGarcía JPGGarcía JPGGarcía JPGGarcía JPGGarcía JPGGarcía JPGGarcía JPGGarcía JPGGarcía JPGGarcía JPGGarcía JPGGarcía JPGGarcía JPGGarcía JPGGarcía JPGGarcía JPGGarcía JPGGarcía JPGGarcía JPGGarcía JPGGarcía JPGGarcía JPGGarcía JPGGarcía JPGGarcía JPGGarcía JPGGarcía JPGGarcía JPGGarcía JPGGarcía JPGGarcía JPGGarcía JPGGarcía JPGGarcía
Tumor del plano esfenoidal clasificado por imagen como Meningioma visto a través de resonancia magnética cortes axial y coronal
JPGGarcía JPGGarcía JPGGarcía JPGGarcía JPGGarcía JPGGarcía JPGGarcía JPGGarcía JPGGarcía JPGGarcía JPGGarcía JPGGarcía JPGGarcía JPGGarcía JPGGarcía JPGGarcía JPGGarcía JPGGarcía JPGGarcía JPGGarcía JPGGarcía JPGGarcía
Meningioma del plano esfenoidal Imagen de resonancia magnética corte sagital
JPGGarcía JPGGarcía JPGGarcía JPGGarcía JPGGarcía JPGGarcía JPGGarcía JPGGarcía JPGGarcía JPGGarcía JPGGarcía
Imagen de tomografía (reconstrucción 3D) mostrando el acceso bifrontal para resección de la lesión tumoral
JPGGarcía JPGGarcía JPGGarcía JPGGarcía JPGGarcía JPGGarcía JPGGarcía JPGGarcía JPGGarcía JPGGarcía JPGGarcía JPGGarcía JPGGarcía JPGGarcía JPGGarcía JPGGarcía JPGGarcía JPGGarcía JPGGarcía JPGGarcía JPGGarcía JPGGarcía
Tomografía contrastada que muestra resección de la lesión tumoral y área cicatricial post quirúrgica
JPGGarcía JPGGarcía JPGGarcía JPGGarcía JPGGarcía JPGGarcía JPGGarcía JPGGarcía JPGGarcía JPGGarcía JPGGarcía JPGGarcía JPGGarcía JPGGarcía JPGGarcía JPGGarcía JPGGarcía JPGGarcía JPGGarcía JPGGarcía JPGGarcía JPGGarcía
Tomografía contrastada corte sagital mostrando remoción de la lesión tumoral
JPGGarcía JPGGarcía JPGGarcía JPGGarcía JPGGarcía JPGGarcía JPGGarcía JPGGarcía JPGGarcía JPGGarcía JPGGarcía