Dr. Juan Pablo García García . Cirujano Neurológico y de Columna Vertebral . Neurocirujano en Toluca Citas: 722 215 2517 . Torre Médica 1, Sanatorio Florencia, Paseo Gral. Vicente Gro 205, Morelos, Toluca, Edo. de México

Tratamiento quirúrgico de la subluxación

atlanto axoidea por artritis reumatoide con tornillos y

barras vía cervical posterior

POSICIÓN NORMAL DEL HUESO ODONTOIDES EN NEUTRO
POSICIÓN ANORMAL EN SUBLUXACIÓN A LA FLEXIÓN
ESTUDIO DE CONTROL TOMOGRÁFICO CON COLOCACIÓN DE TORNILLOS Y BARRAS AL ATLAS Y AXIS
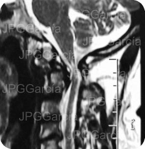
ESTUDIOS RADIOGRÁFICOS PREQUIRÚRGICOS
Imágenes de tomografía la unión cráneo cervical que muestra un fractura de la apófisis odontoides llamada “os odontoideo”
Imágenes de resonancia de la unión cráneo cervical que muestra mielopatía cervical compresiva severa
Imágenes de tomografía de con realce metálico que muestra el postquirúrgico a la fijación C1 C3 más remoción del arco posterior del atlas
JPGGarcía JPGGarcía JPGGarcía JPGGarcía JPGGarcía JPGGarcía JPGGarcía JPGGarcía JPGGarcía JPGGarcía JPGGarcía JPGGarcía JPGGarcía JPGGarcía JPGGarcía JPGGarcía JPGGarcía JPGGarcía JPGGarcía JPGGarcía JPGGarcía JPGGarcía JPGGarcía JPGGarcía JPGGarcía JPGGarcía JPGGarcía JPGGarcía JPGGarcía JPGGarcía JPGGarcía JPGGarcía JPGGarcía JPGGarcía JPGGarcía JPGGarcía JPGGarcía JPGGarcía JPGGarcía JPGGarcía JPGGarcía JPGGarcía JPGGarcía JPGGarcía JPGGarcía JPGGarcía JPGGarcía JPGGarcía JPGGarcía JPGGarcía JPGGarcía JPGGarcía JPGGarcía JPGGarcía JPGGarcía JPGGarcía JPGGarcía JPGGarcía JPGGarcía JPGGarcía JPGGarcía JPGGarcía JPGGarcía
Dr. Juan Pablo García García
Cirugía Neurológica y de Columna Vertebral
Sanatorio Florencia . Torre Médica 1 . Consultorio 20 - Toluca, Estado de México
Cirugía neurológica y de columna vertebral - Dr. Garcia - Toluca
C. Andrés Quintana Roo Sur 817, Residencial Colón y Col Ciprés - Toluca, Estado de México
Dr. Juan Pablo García García
Cirugía Neurológica y de Columna Vertebral
Sanatorio Florencia . Torre médica 1 Consultorio 20, Toluca, Estado de México
Cirugía neurológica y de columna vertebral - Dr. Garcia - Toluca
POSICIÓN NORMAL DEL HUESO ODONTOIDES EN NEUTRO
POSICIÓN ANORMAL EN SUBLUXACIÓN A LA FLEXIÓN
ESTUDIO DE CONTROL TOMOGRÁFICO CON COLOCACIÓN DE TORNILLOS Y BARRAS AL ATLAS Y AXIS
Imágenes de tomografía la unión cráneo cervical que muestra un fractura de la apófisis odontoides llamada “os odontoideo”
Imágenes de resonancia de la unión cráneo cervical que muestra mielopatía cervical compresiva severa
Imágenes de tomografía de con realce metálico que muestra el postquirúrgico a la fijación C1 C3 más remoción del arco posterior del atlas
Dr. Juan Pablo García García Cirujano Neurológico y de Columna Vertebral Neurocirujano en Toluca Citas: 722 215 2517 . Torre Médica 1 Sanatorio Florencia, Paseo Gral. Vicente Gro 205, Morelos, Toluca, Edo. de México
C. Andrés Quintana Roo Sur 817, Residencial Colón y Col Ciprés - Toluca, Estado de México

Tratamiento quirúrgico de la

subluxación atlanto axoidea por

artritis reumatoide con tornillos

y barras vía cervical posterior

ESTUDIOS RADIOGRÁFICOS PREQUIRÚRGICOS
JPGGarcía JPGGarcía JPGGarcía JPGGarcía JPGGarcía JPGGarcía JPGGarcía JPGGarcía JPGGarcía JPGGarcía JPGGarcía JPGGarcía JPGGarcía JPGGarcía JPGGarcía JPGGarcía JPGGarcía JPGGarcía JPGGarcía JPGGarcía JPGGarcía JPGGarcía JPGGarcía JPGGarcía JPGGarcía JPGGarcía JPGGarcía JPGGarcía JPGGarcía JPGGarcía JPGGarcía JPGGarcía JPGGarcía JPGGarcía JPGGarcía JPGGarcía JPGGarcía JPGGarcía JPGGarcía JPGGarcía JPGGarcía JPGGarcía JPGGarcía JPGGarcía JPGGarcía JPGGarcía JPGGarcía JPGGarcía JPGGarcía JPGGarcía JPGGarcía JPGGarcía JPGGarcía JPGGarcía JPGGarcía JPGGarcía JPGGarcía JPGGarcía JPGGarcía JPGGarcía JPGGarcía JPGGarcía JPGGarcía